Shoulder Arthritis

Banner Image

Arthritis and Joint Replacement

Topics

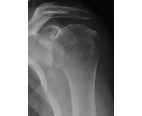
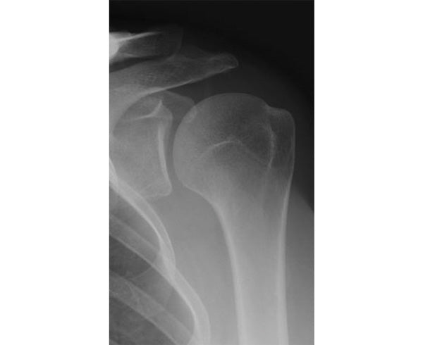
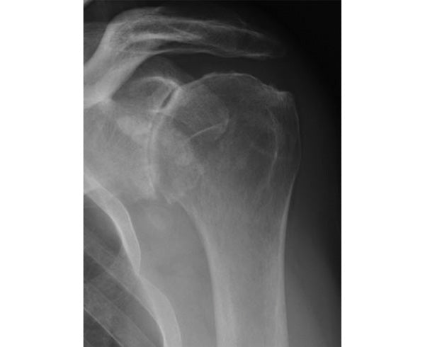
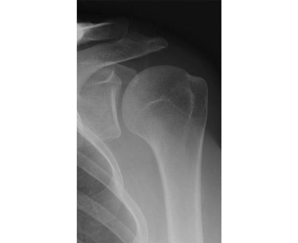
Articular cartilage covers the surface of a bone where it meets with another bone at a joint. In the shoulder, there is articular cartilage covering the head of the humerus (arm bone) and the glenoid (socket bone) where they come together to form the glenohumeral joint. There is also articular cartilage at the ends of the acromion and the clavicle where they meet to form the AC joint. This cartilage is important to provide both a smooth, lubricated surface for joint articulation and to help distribute load to reduce stress on your bones.

Shoulder arthritis occurs when the articular cartilage breaks down and no longer provides a smooth, cushioned surface for bones to glide. This happens naturally due to “wear and tear” associated with aging. You are at higher risk for developing arthritis if it runs in your immediate family, if you have had previous shoulder surgeries, have had a previous shoulder fracture, or if your job occupation/hobbies cause significant stress to your shoulders over many years.

Glenohumeral Arthritis

Symptoms of GH joint arthritis include shoulder pain, stiffness, end range of motion pain (pain that worsens towards the end of your shoulder range), and pain at night. The pain is often described as a “deep ache” and becomes progressively worse over time. You may hear and feel a grinding sensation as you move your shoulder.

AC Arthritis

The main symptom of AC joint arthritis is pain primarily at the top of the shoulder. The pain is often made worse by reaching your arm across your body. It is possible to maintain normal shoulder range of motion, but stiffness could also be a symptom.

Your healthcare provider will evaluate your range of motion, measure strength, and perform special tests to help diagnose the source of your shoulder symptoms. They will use the results of their exam to determine if you need further testing (e.g. x-ray, MRI, CT scan).

The initial treatment for shoulder arthritis is non-surgical with the goal of reducing pain, improving function, and delaying future surgery. Your provider may recommend some of the following treatments: rest, activity modification, medication to reduce pain and/or inflammation, and icing your shoulder. When these measures are no longer controlling your pain, the next step is to consider a steroid injection. A steroid injection can be very effective in providing pain relief and improving function, however, the results are temporary and become less effective with each additional injection. At our Columbia clinic, we offer fluoroscopy-guided injections to ensure the steroid is being placed in the correct space.

Surgical options

Glenohumeral arthritis

End treatment for GH joint arthritis is joint replacement surgery. This is the best option to relieve pain and restore function once conservative measures and steroid injections are no longer working.

There are different types of joint replacement surgeries, the two most common are an anatomical total joint replacement and a reverse total joint replacement. Both of these surgeries involve replacing the shoulder joint with metal hardware components.

  • An anatomic replacement mimics your normal ball and socket joint and is best reserved for patients who have an intact and functioning rotator cuff and substantial glenoid bone.
  •  A reverse replacement switches the placement of the ball and socket, so that the round, ball shaped piece is placed at the socket, and the flat surface is at the head of the humerus (arm bone). This procedure is best reserved for patients who have a torn or worn out rotator cuff and/or have significant glenoid bone loss.

AC joint arthritis

End treatment for AC joint arthritis is generally minimally invasive arthroscopic surgery. The procedure involves making small holes in the shoulder for instruments to pass through, and then using the instruments to shave down the arthritic areas of the two bones that makeup the AC joint.

Arthritis and Joint Replacement Videos

Distal Clavicle Excision

Total Shoulder Replacement

Reverse Shoulder Replacement